- · 《肿瘤影像学》投稿方式[10/30]
- · 《肿瘤影像学》数据库收[10/30]
- · 《肿瘤影像学》期刊栏目[10/30]
- · 《肿瘤影像学》杂志社刊[10/30]
- · 《肿瘤影像学》编辑部征[10/30]
- · 肿瘤影像学版面费是多少[10/30]
评估肿瘤的治疗方式和疗效,影像诊断是关键!
作者:网站采编关键词:
摘要:有没有吃饱喝足才能检查的项目? 拍摄腰部时,要去除饰品、纽扣、皮带。如果是进行磁共振检查,这些金属异物不仅能严重影响影像质量,而且检查时金属异物会产生一定的热量而灼
有没有吃饱喝足才能检查的项目?
拍摄腰部时,要去除饰品、纽扣、皮带。如果是进行磁共振检查,这些金属异物不仅能严重影响影像质量,而且检查时金属异物会产生一定的热量而灼伤你的肌肤。因此,做医学影像检查时最好穿棉质服装。衣服以白色为佳,切忌黑色或深灰色,以便医生对准中心线。
带上微笑,别带饰品
有的医学影像检查在做之前不能吃喝,如上消化道钡餐检查,以及PET/CT、DSA检查。此外,怀疑有肠梗阻、肠穿孔、急性胰腺炎的患者及做CT血管成像或怀疑结石存在者,做检查前也要做到不吃不喝。
做影像学检查有什么要注意?
01
在进行腹部X线平片拍摄时,当肠腔有气体影响诊断或怀疑有粪石时,也得进行肠道准备。所谓肠道准备就是检查前利用泻药将肠道都排干净后再做检查。
02

有的。腹部的CT检查,喝水的多少以及时间都很有讲究。上腹部CT检查时,就得喝稀释的造影剂300毫升,且喝完后片刻即可进行检查。而对肾脏进行CT检查时,分次喝水的量累计达800毫升,且要等20分钟方可进行检查。做前列腺、膀胱及妇科超声检查时也需要喝水,让膀胱适当充盈后,检查时看得更清楚。
03
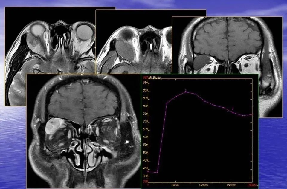
对于肿瘤患者来说,影像诊断是选择治疗方式和疗效评估的关键。通过将形态影像学和功能影像学结合,包括 PET/CT、功能 MRI、功能 CT 等,利用大数据技术挖掘多种影像学的特点并整合分析,来预测临床疗效和患者对治疗手段的应答情况。
影像学检查也要空腹?
当你打算进医学影像科进行医学影像检查时,你要做的第一件事就是去除拍摄部位的一切异物,以防止异物伪影阻碍影像诊断。比如,你做胸部X线检查前,就要去除项链、玉佩,以及纽扣、拉链,含有金属配件的内衣等。
影像诊断就是临床医生的另一双眼睛,在普通人眼里的黑白照,在影像科医生的眼里就是诊断疾病的信息入口。
文章来源:《肿瘤影像学》 网址: http://www.zlyxxzz.cn/zonghexinwen/2022/0728/1241.html
上一篇:肿瘤标志物升高先别慌
下一篇:左右手血压相差40mmHg 原来是这根血管堵了